Tissue mechanics
Rod Lakes

Tissue Biomechanics class
Ligament and tendon
  Tendon hierarchical structure diagram.
  Ligament structure.
  Ligament structure. Scanning electron micrographs of a normal rat medial collateral ligament (A)
  Ligament structure. Normal (top) and scar (bottom) tissues of a healing medial collateral ligament (MCL) in slack configuration.
  Ligament structure. Bifurcation/Fusion of collagen fibrils in normal MCL tissue at 20,000X (arrow). Note the collagen fibril overlap and interweaving.
  Ligament structure. Ligament in which a single tensile overload produced microstructural damage but not ligament rupture (B).
  Ligament overload damage image
  Ligament overload damage graph
  Ligament stress-strain curves
  Constitutive equations. Linear and nonlinear viscoelasticity
  Superposition in viscoelasticity
  Prediction of nonlinear viscoelasticity
  Ligament relaxation.
  Ligament creep and relaxation.
  Ligament rate effect.

Bone
  Bone hierarchical structure.
  Dry bones.
  Bone Galen View
  Bone structure pdf.
  Bone structure, function after American Society for Bone and Mineral Research.
  Bone relaxation and damping plot.
  Bone axial damping summary plot .
  Bone shear damping summary plot .
  Bone torsion damping summary plot .
  Viscoelasticity due to fluid flow.
  Stiffness / loss plot: comparison of materials.
  Bone long creep
  Cement line displacement in bone under prolonged load.
  Slow waves
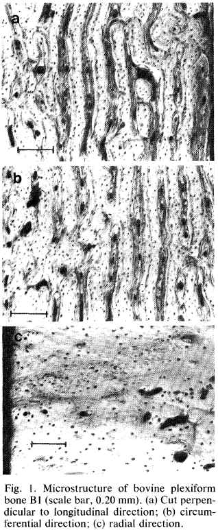
  Bovine bone
  Osteons, size effects damping.
  Case study: Baby heads improper treatment.
2, 3.
  Misshapen head reshaped
  Baby helmet for head reshaping
  Case study: Teflon based implants for the jaw to treat temporomandibular joint (TMJ) problems failed catastrophically. get pdf.
  Contemplative skeleton.


Muscle
  Heart muscle relaxation.
  Heart muscle relaxation time related to size.
  Interpretation via Biot theory.
  Viscoelasticity due to fluid flow.

Other tissues
  Skin Poisson's ratio
  Diagnostic percussion waveforms
  Lens of the eye
  Spine viscoelasticity
  Spinal creep in living subject. Height change.
  Spine height change with time
  Leg impact damping
  Foot hysteresis
  Droop?


Wood
  Wood structure.
  Wood viscoelasticity 2, 3.

  isthmus view
  isthmus and campus